Тимомегалия у детей причины симптомы методы лечения
Тимомегалия
Тимомегалия делится на:
- первичную (врожденную) – проявляется существенных увеличением тимуса с одновременным сокращением его секреторной функции, возможно расстройство нейро-эндокринной системы, а также образование новых структур лимфоидной ткани;
- вторичную (приобретенную) – возникает из-за поражения той или иной эндокринной железы.
Причины
Патология появляется вследствие негативного влияния на плод медицинских препаратов и алкогольных напитков, из-за серьезных трудностей у матери в прошлом (наличии выкидышей, абортов, поздней беременности, сильных токсикозов и др.), а также по таким причинам, как недоношенность, асфиксия, конъюгационная желтуха, родовые травмы.
Симптомы
Термин “тимомегалия” используют как обозначение существенного увеличения органа, что сопровождается развернутой симптоматикой:
- отличительный внешний вид – мягкие округлые части тела, довольно крупные черты лица, бледный кожный покров, светлый цвет волос;
- задержка в развитии – больной малыш, в отличие от своих здоровых сверстников, начинает намного позже ходить и говорить, у него возникают трудности с правильным прорезыванем зубов;
- сниженный иммунитет, эндокринно-обменные расстройства;
- ребенок очень часто болеет (отит, ОРВИ, пневмония);
- нарушение кровообращения, дисфония, брадикардия.
- эндокринные сдвиги – сахарный диабет, нарушение нормальных функций щитовидной железы, аномальные жировые отложения и пр.;
- сопутствующие болезни – рахит, грыжи, фимоз и др.
Как правило, симптомы проявляются у детей до 3-6 лет. Через время они могут переродиться в другие патологии. Поэтому так важно вовремя обратиться к педиатру.
Диагностика
Для выявления проблемы следует записаться на прием к врачу-иммунологу, педиатру и эндокринологу. При диагностировании патологии специалисты обращают внимание на перенесенные ребенком болезни, его телосложение, а также на собранные при медицинском осмотре сведения.
Инструментальное обследование включает:
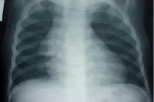
- Рентгенографию. Применяется кардио-тимико-торакальный и вазокардиальный индекс. Если объемы вилочковой железы превышают установленную норму, то на рентгене тень тимуса будет превышать пределы тени сердца и сосудистого пучка.
- УЗИ надпочечников, органов брюшной полости и вилочковой железы. Включает определение объема и массы тимуса.
Результаты осмотра и пальпации во многом являются субъективными и полностью зависят от знаний и опыта специалиста.
Лечение
Методики лечения назначаются для каждого пациента индивидуально на консультации врача-специалиста. Больной обязан соблюдать особую диету и употреблять как можно больше фруктов, овощей, ягод и трав, которые славятся высоким содержанием витамина С. Например: лимон, петрушка, смородина, облепиха и т. д. Помимо этого, применяют адаптогены и иммуномодуляторы. Иногда следует прекратить вакцинацию на 6 месяцев. Прием медикаментов разрешается лишь если есть серьезные осложнения или у малыша начался приступ. Два раза в год проводят курс лечения глицирамом и этимизолом. Запрещается принимать аспирин, поскольку он способен стать причиной возникновения аспириновой астмы.
Профилактика
Дети с тимомегалией очень восприимчивы к аллергии и инфекционно-воспалительным заболеваниям, поэтому родители должны серьезно заняться профилактикой таких болезней. Кроме того, необходимо проводить физиотерапевтические процедуры и делать отвары лекарственных растений.
Ребенка следует поставить на учет к эндокринологу и аллергологу-иммунологу, а также обязательно направлять его на профилактические курсы лечения и ежегодное обследование.
Тимомегалия у детей: возможные причины, симптомы, степени, терапия, профилактика

Вилочковую железу называют центральным органом иммунной системы, а также железой, продуцирующей внутренний секрет. Именно здесь клетки-предшественники превращаются в Т-лимфоциты, которые принимают непосредственное участие в клеточном и гуморальном иммунитете. К тому же, в качестве секрета из этой железы выделяется порядка 20 веществ. Сюда можно отнести разнообразные гормоны и компоненты, требующиеся для нормального обмена веществ.
Максимальная масса тимуса достигается в период новорожденности, так как от веса ребенка этот орган занимает более 4 %. Рост может проходить на протяжении первых 15 лет жизни ребенка, но затем отмечается возрастная инволюция. В результате железистая ткань превращается в соединительную и жировую.
Причины
Тимомегалия у детей, МКБ-10 которой Е32, развивается по причине наличия экзогенных и эндогенных факторов, а в отдельных случаях они могут сочетаться друг с другом. Достаточно часто данная патология имеет непосредственную связь с отягощенным акушерским анамнезом матери. Речь идет об абортах и выкидышах, а также сильном токсикозе в период беременности и наличии резус-конфликта. Современные врачи не отменяют негативного влияния лекарственных препаратов и алкоголя на вилочковую железу, что в дальнейшем приведет к развитию тимомегалии.
Как выглядят дети?
Если вилочковая железа увеличилась совсем незначительно, могут не наблюдаться клинические проявления. В этом случае говорят о синдроме увеличенной вилочковой железы. Развернутая симптоматика болезни наблюдается при значительном ее увеличении.
Детей с диагнозом «тимомегалия» можно выделить из-за характерных фенотипических особенностей:
- форма тела округлая;
- слабо развитая мускулатура;
- черты лица очень крупные;
- глаза и волосяной покров светлые;
- увеличенными размерами отличаются поперечные параметры тела, особенно такие части, как плечи и грудная клетка, а также ладони и стопы, которые постоянно стынут;
- лимфатические узлы увеличены;
- кожа бледная, на ней проступает рисунок, похожий на мраморный, присутствует слабо выраженная пигментация и сыпь.
Признаки
Дети с таким заболеванием отличаются повышенным аппетитом, у них часто встречается ожирение или избыточный вес.
Болезнь сопровождают иные заболевания. Прежде всего, это эндокринно-обменные патологии, которые проявляются в виде дисфункции щитовидной железы или гипокортицизмом, гипопаратиреозом. Может развиваться сахарный диабет. Обнаруживаются грыжи: паховые или пупочные.
Тимомегалию сопровождает изменение давления, что приводит к артериальной гипотонии, аритмии. Провоцируют болезнь и такие отклонения, которые связаны со сдавливанием жизненно важных органов. Это в первую очередь:
- Трахея. В этом случае возникает постоянный кашель, беспокоит одышка, появляется шумное дыхание с хрипами.
- Блуждающий нерв. Его раздражение приводит к брадикардии, дисфонии, коллапсам.
- Набухание вен шеи, цианоз.
Отмечается недоразвитие половых органов. Девочки страдают от гипоплазии матки и влагалища, у мальчиков может быть выявлен фимоз или крипторхизм.
Увеличенными бывают аденоиды и миндалины. Часто случаются ОРВИ, которые сопровождаются сильным кашлем.

Как распознать?
Распознать тимомегалию у детей до года можно по таким признакам:
- рождаются они обычно с большим весом;
- может обнаружиться врожденный дефект бедренной части;
- вес может колебаться: или резко увеличен, или происходит его уменьшение;
- определяются все признаки рахита;
- кожный покров бледный, но во время плача приобретает синюшный оттенок;
- наблюдаются слишком частые срыгивания;
- повышенная потливость;
- в области груди заметна венозная сеточка;
- возникает кашель без видимых причин, если грудничка держать в горизонтальном положении, он усиливается;
- долгое время держится повышенная температура, до 38 градусов;
- наблюдается аритмия.
Также отмечается нарушение последовательного прорезывания зубов, ребенок отстает в речевом развитии, поздно начинает ходить.

Как определяются степени тимомегалии у детей
В детской эндокринологии стадию развития тимомегалии выявляют методом специальных измерений и по внешнему состоянию вилочковой железы, согласно показаниям рентгенограммы.
Для диагностирования тимомегалии у ребенка применяют кардиотимикоторакальный индекс (КТТИ). Этот показатель рассчитает доктор, опираясь на показания рентгенограммы. Необходимо измерить отношение площади сосудистого пучка в районе раздвоения трахеи на размер грудной полости в районе диафрагмы.
Также в детской эндокринологии есть вариант выявления стадии болезни, ориентирующийся на площадь тени железы, которую есть возможность зафиксировать рентгеном.
Условно у человека существует три анатомические части грудной клетки. Степень тимомегали у больного ребенка обуславливается тем, которую область детской грудной клетки затрагивает уровень разрастания вилочковой железы.
Какие показатели?
Выделяют следующие степени разрастания тимуса:
- 1 степень. Показатель ККТИ в пределах 0,33-0,37 единиц, вилочковая железа в области верхней трети грудной клетки.
- 2 степень. Показатель ККТИ в пределах 0,37-0,42 единиц, орган занимает область не более 2/3 детской грудной клетки.
- 3 степень. Показатель ККТИ выше 0,42 единиц, железа занимает площадь 2/3 и более области грудной клетки.

Диагностика
Одними из самых объективных методов распознавания тимомегалии считаются исследования с помощью рентгенодиагностики и УЗИ. Осмотр, пальпация и перкуссия применяются на первоначальном этапе постановки диагноза. Немаловажным фактором при этом является опыт врача.
При установлении тимомегалии с помощью рентгенодиагностики должно учитываться, что стандартно теневая видимость тимуса не выходит за предел теневой проекции сердца ребенка и сосудистого пучка. Такое положение касается детей разного возраста.
Исследования, проведенные учеными, выявили предельные нормы веса и объема тимуса, выход за пределы которых, является проявлением тимомегалии. Наиболее точно данные показания устанавливаются с помощью УЗИ, во время которого предметом исследования является вилочная железа, органы брюшной полости и надпочечники. Проведенное УЗИ тимуса определяет степень заболевания.
При этом проводятся лабораторные исследования крови на превышение нормы Т-лимфоцитов, гормонов, назначается кардиограмма.
Исследования данного заболевания выявили понижение иммунитета детского организма и высокую подверженность ребенка ОРВИ, поэтому при постановке диагноза изучается анамнез ребенка.

О проблеме
Тимус или вилочковая железа – орган лимфоцитопоэза, в котором формируются лимфоидные клетки, отвечающие за работу иммунной системы ребенка. Вилочковая железа в детском возрасте имеет максимальный размер. Тимомегалия – заболевание, связанное с увеличением размера и веса названного органа, она проявляется у детей с самого раннего возраста.
Детей с тимомегалией, как уже говорилось, отличает избыточный вес, повышенный аппетит, недостаток развития мышечной ткани, изменение и недоразвитие форм половых органов, нарушение в процессах прорезывания молочных зубов, задержка в развитии, дефекты речи.
Вилочковая железа сдавливает жизненно важные органы ребенка, что может проявляться во вздутии вен на шее, одышке, кашле и синюшном цвете кожи. В некоторых случаях болезнь может протекать без каких-либо ярко выраженных симптомов.
Как проходит терапия?
Медикаментозное лечение тимомегалии у детей, симптомы которой выше, назначает врач-педиатр, исходя из степени и тяжести заболевания и на основании заключений иммунолога и эндокринолога. В медицинской практике терапевтическое лечение легких форм тимомегалии не производится. Ребенку рекомендовано придерживаться сбалансированного питания, не подвергаться стрессам и беречься от простудных заболеваний, регулярно посещать педиатра. Новорожденным показано грудное вскармливание.
На второй стадии заболевания назначают прием адаптогенов и биостимуляторов на основе растительных компонентов, способных повышать сопротивляемость организма к вредным факторам окружающей среды.
В некоторых случаях назначают препараты на основе вытяжки из вилочковой железы крупного рогатого скота.
При развитии у ребенка надпочечниковой недостаточности, вводятся инъекции растворов калия и сердечных гликозидов.
В последней стадии болезни и в предоперационный период, назначают прием стероидных гормонов глюкокортикоидов: преднизалона и гидрокортизона. Дозировка подбирается индивидуально.
Для того чтобы не спровоцировать перерождение тимомегалии в более серьезные заболевания, необходим регулярный контроль за состоянием здоровья ребенка, проведение назначенного лечения.

Профилактика
Чаще всего у ребенка к шести годам формируется вилочковая железа нормального размера, но все же ребенок должен находиться на учете у таких врачей, как педиатр, иммунолог и эндокринолог, а также проходить регулярные профилактические обследования.
Профилактикой болезни может быть правильное и тщательное планирование и проведение родовой деятельности, а это – ведение здорового образа жизни, до планирования ребенка и во время беременности, прохождение всех нужных обследований как во время беременности, так и после, уже новорожденному. Желательное кормление ребенка грудью, так как в молоке матери находится большое количество антител и прочих полезных веществ, благодаря которым, будет проходить правильное развитие ребенка.

Во время вскармливания грудью, мать должна избегать стресса и нездорового образа жизни. Если же ребенок находится на искусственном вскармливании, то стоит обратиться к врачу, который посоветует качественную смесь.
В доме нужно соблюдать правильный микроклимат, часто проводить влажную уборку и проветривать. Если же у ребенка увеличена вилочковая железа, то родителям необходимо оградить его от стрессовых ситуаций, а также от контактов с инфицированными людьми.
Тимомегалия: причины заболевания, основные симптомы, лечение и профилактика

Патология, обусловленная гиперплазией тимуса и угнетением его функций, которая сопровождает некоторые детские заболевания. При незначительной тимомегалии недуг имеет латентное течение. При выраженном увеличении тимуса наблюдаются сдавление внутренних органов, синдром лимфопролиферации, иммунные и эндокринно-обменные нарушения. Диагноз устанавливают на основании истории болезни, клинических признаков, физикального осмотра и дополнительных обследований. В рамках диагностики могут выполнять рентгенографию, ультразвуковое исследование, анализ крови на уровень иммуноглобулинов, исследование крови на уровень соматропина, тиреотропного и паратиреоидного гормона, а также общий анализ крови. Медикаментозное лечение подбирается иммунологом. Пациентам, которые часто болеют, выписывают адаптогены и биостимуляторы. Для иммунокоррекции назначают прием экстракта тимуса крупного рогатого скота. Прогноз относительно благоприятный, в большинстве случаев после 6 лет размер вилочковой железы соответствует норме.
Причины тимомегалии
Развитие патологии может быть обусловлено различными эндогенными и экзогенными факторами. Вероятность образования недуга повышается при ранее перенесенных абортах и выкидышах, токсикозах в период гестации, резус-конфликте, поздней беременности. Также заболевание может быть спровоцировано употреблением тератогенных препаратов, никотина и алкогольных напитков во время беременности. Болезнь может возникнуть при асфиксии, недоношенности, родовых травмах, синдроме дыхательных расстройств, конъюгационной желтухе и сепсисе новорожденных. Кроме того, тимомегалия сопровождает лимфатико-гипопластический диатез.
Симптомы тимомегалии
При незначительном увеличении вилочковой железы характерно латентное течение. У пациентов округлые мягкие формы тела, крупные черты лица, широкие плечи, грудная клетка, ладони и стопы, светлые волосы и глаза, слабо развитая мускулатура, повышенный аппетит, а также бледная, слабо пигментированная кожа. Заболевание также выражается задержкой речевого развития, дислалией, поздним началом ходьбы. Патология может сопровождаться паховыми и пупочными грыжами, септальными дефектами, перинатальной энцефалопатией, рахитом, врожденным вывихом бедра, синдактилией, крипторхизмом, фимозом, гипоплазией матки. Могут наблюдаться артериальная гипотония, аритмия, повышенная потливость, необъяснимый длительный субфебрилитет. Если вилочковая железа значительно увеличивается в размерах, она может сдавливать жизненно важные органы: трахею, сосудистый пучок, блуждающий нерв. Могут развиваться иммунодефицит, лимфопролиферация и эндокринно-обменные нарушения.
Диагностика тимомегалии
Пациента консультируют специалисты педиатрического, иммунологического и эндокринологического профилей. Чтобы установить и подтвердить диагноз, доктор собирает анамнестическую информацию, анализирует клинические признаки, проводит физикальный осмотр и направляет ребенка на дополнительные обследования. В рамках диагностики могут выполнять рентгенографию, ультразвуковое исследование, анализ крови на уровень иммуноглобулинов, исследование крови на уровень соматропина, тиреотропного и паратиреоидного гормона, а также общий анализ крови. Врачи обследуют вилочковую железу, органы брюшной полости и надпочечники.
Лечение тимомегалии
Если тимус увеличен незначительно, специальная терапия не проводится. Необходимо ограничить ребенка от контактов с пациентами, страдающими инфекционными заболеваниями. Младенцам показано грудное вскармливание, а старшим детям – правильное питание. Медикаментозное лечение подбирается иммунологом. Пациентам, которые часто болеют, выписывают адаптогены и биостимуляторы. Для иммунокоррекции назначают прием экстракта тимуса крупного рогатого скота. По достижению ребенком 6-летнего возраста, лечение дополняют индукторами синтеза глюкокортикоидов: аммония глицирризинат, этимизол. Тяжелые заболевания, стрессы и предоперационная подготовка являются показаниями к назначению глюкокортикоидов – преднизолона, гидрокортизона. При синдроме тимусо-надпочечниковой недостаточности, которая проявляется апатией, слабостью, брадикардией, рвотой, диспепсическими расстройствами и артериальной гипотонией, вводят преднизолон, инфузионные расстворы, сердечные гликозиды и препараты калия. Если у больного диагностирована тимомегалия I-IIстепени, при гипоаллергенной диете и гописенсибилизирующей терапии проводят профилактическую вакцинацию.
Профилактика тимомегалии
Специфические методы профилактики не разработаны. Женщинам в период гестации необходимо отказаться от пагубных привычек, принимать только назначенные доктором лекарства, а также регулярно проходить акушерские обследования.
Тимус – что это? Роль тимуса на первому году жизни ребенка
Программы обследования для детей
- Медцентр г. Видное
Консультация по прививкам!
- Медцентр г. Видное
Первый год жизни. Педиатрическая программа обследования
- Медцентр г. Видное
Диагностика аллергии у детей – базовое обследование
- Медцентр на Коломенской
Тимус (вилочковая железа) – важный орган иммунной системы детей. Он расположен в верхнем отделе грудной клетки и состоит из двух долей, соединяющихся в передней части трахеи. Железа растет до наступления половой зрелости, достигая массы 30–40 грамм, затем постепенно уменьшается (обратное развитие).
Она играет доминирующую роль в иммунной, эндокринной системе. Тимус продуцирует тимозин, тимопоэтин, стимулирующие выработку антител, а также производит Т-лимфоциты – белые клетки крови, уничтожающие аномальные клетки с чужеродными антигенами. Другая функция вилочковой железы – предотвращение патологического роста клеток и предупреждение рака. Следует отметить, что тимус играет ведущую роль в иммунитете ребенка до трех лет.

Роль тимуса в жизни ребёнка
До рождения и в детстве тимус ответственен за производство плюс созревание Т-лимфоцитов, защищающих организм от определенных угроз, включая вирусы, бактерии. Тимус является крупнейшим лимфоидным органом у новорожденных, так как активнее других тканей продуцирует лимфоциты. Железа выступает «первой скрипкой» в развитии и улучшении иммунной системы ребенка.
Тимус производит и секретирует тимозин – гормон, необходимый для выработки Т-клеток. После «созревания» в железе они поступают в кровь и мигрируют в лимфоузлы и селезенку, где помогают иммунной системе бороться с болезнью.
В некоторых случаях функции вилочковой железы снижены, что ослабляет иммунную систему, увеличивая склонность к инфекциям и аллергии. Ребенок страдает затяжными ОРВИ, патология легко переходит в хроническую. Недостаток Т-лимфоцитов в организме может привести к иммунодефицитным заболеваниям, характеризующимися сильной потливостью, отечностью и/или болезненностью горла, припухлостью лимфатических узлов, депрессией.
Недоедание и дефицит белка в раннем возрасте обусловливает медленный или ограниченный рост тимуса, «подрывая» тем самым нормальное функционирование лимфоцитов. Вот почему важно сбалансированное питание с достаточным количеством белка.
Доктора данного направления

Патология тимуса
Основные виды патологии тимуса:
- Аплазия – отсутствие или недоразвитие вилочковой железы
- Гипо- и дисплазия – недоразвитие тимуса
- Акцидентальная инволюция – уменьшение вилочковой железы, под влиянием гормонального дисбаланса, стресса, инфекции
- Атрофия – уменьшение, замещение железистой ткани соединительной, прекращение функционирования
- Тимомегалия – увеличение массы и объема паренхимы вилочковой железы выше возрастной нормы при сохранении ее нормального строения
- Гиперплазия – увеличение железистой ткани, с нарушением выработки иммунных клеток и функционирования тимуса.
- Тимома – опухоль вилочковой железы.
- Киста тимуса – жидкостное образование вилочковой железы.
- Патология тимуса (вилочковой железы) может вызывать: развитие ряда иммунодефицитных синдромов, аутоиммунных заболеваний и некоторых эндокринных нарушений.
Увеличение тимуса у детей
Отклонение в размере тимуса в большую сторону и снижение его функции обозначают термином «синдром увеличенной вилочковой железы» (СУВЖ) у детей. Проблему увеличенного тимуса чаще рассматривают в свете дифференциальной диагностики с плевритом, перикардитом, опухолями средостения, другими патологиями.
Ошибочно считают, что увеличенный тимус у детей грудного или раннего возраста является физиологическим состоянием. Особенности протекания инфекционных заболеваний у маленьких пациентов с СУВЖ заставляют классифицировать синдром, как патологию. Дети с СУВЖ имеют большую вероятность развития дисбаланса нейроэндокринной плюс иммунной систем. Поэтому пациенты с выявленным увеличением тимуса требуют полного обследования и диспансерного наблюдения у эндокринолога, иммунолога.
Симптомы заболевания или нарушения развития вилочкой железы
Для того, что бы вовремя выявить патологию тимуса, родителям стоит обратить внимание на отклонения, имеющие различную степень выраженности, которые могут свидетельствовать о заболевании или нарушении развития вилочковой железы:
- Частая заболеваемость ребенка простудными заболеваниями.
- Затяжное течение различных заболеваний, с частыми осложнениями.
- Увеличение лимфоидной ткани – лимфатических узлов, миндалин, аденоидов, ткани на задней поверхности глотки.
- Бледность и/или мраморный рисунок на коже ребёнка.
- Большой вес ребёнка при рождении.
- Ребёнок быстро теряет и быстро набирает вес.
- Кашель вне простудного заболевания, который усиливается в положении ребёнка горизонтально.
- Потливость, субфебрильная температура длительное время вне простудных заболеваний.
- Гипергидроз, холодные конечности.
- Видимая венозная сеточка на груди малыша.
- Цианоз (посинение) носогубного треугольника при нагрузках (плач, бег)
- Частые срыгивания, икоты, отрыжки
- Одышка
- Нарушение сердечного ритма
При возникновении подозрений на патологию тимуса, врач может назначить дополнительные методы обследования:
- УЗИ вилочковой железы,
- КТ,
- МРТ,
- рентген,
- общий анализ крови,
- иммунограмму,
- биохимический анализ крови,
- кровь на гормоны.
Тимическая недостаточность поддается иммунокорекции, которая индивидуально подбирается врачом аллергологом-иммунологом. Стоит обратить внимание, что своевременная диагностика патологии вилочковой железы особенно актуальна на первом году жизни ребенка, когда ребенку начинают проводить вакцинацию.
Для получения подробных консультаций о роли тимуса в жизни ребёнка на первом году жизни обращайтесь к педиатрам медицинских центров «Президент-Мед»
Тимомегалия– увеличение вилочковой железы
Тимомегалия (лат. thymus — тимус; megalia — увеличение) — это состояние, при котором отмечается значительное увеличение размеров центрального органа иммунной системы — вилочковой железы, часто встречающееся у детей раннего возраста.
К формированию данного состояния могут приводить как внешние, так и внутренние факторы или их сочетание. Доказана и важная роль неблагоприятных факторов в дородовом периоде (гестозы I и II половины беременности, нефропатии, инфекционные заболевания у матери, воздействие неблагоприятных факторов внешней среды, поздняя беременность).

Проявления тимомегалии. Проявления синдрома увеличения тимуса бывают только при его выраженном и резком увеличении — незначительные стадии увеличения никаких симптомов не дают и могут быть обнаружены только при рентгенологическом или ультразвуковом обследовании. Если же он увеличен сильно, то у каждого ребёнка набор симптомов будет своеобразным, но всё же можно выделить четыре основных формы клинических проявлений этого нарушения: синдром сдавления жизненно важных органов; синдром нарушения иммунитета; лимфопролиферативный и синдром эндокринно-обменных нарушений.
ДАВАЙТЕ РАЗБЕРЁМ ИХ КАЖДЫЙ В ПОДРОБНОСТЯХ.
Итак, при сдавлении тимусом жизненно важных органов могут затрагиваться трахея, блуждающий нерв, верхняя полая вена, сосудистый пучок и вследствие этого будут возникать различного рода проявления. Если сдавилась трахея, могут возникать следующие признаки: одышка, шум при дыхании, особенно в возбуждённом состоянии, храпение, коклюшеподобный кашель, приступы тимусовой астмы, асфиксии или спадение участков лёгких. При сдавливании сосудистого пучка появляются расширенные вены на передней поверхности груди, набухают шейные вены, а шея выглядит отёчной, появляется шум в сосудах шеи.
При раздражении блуждающего нерва и сопутствующей этому недостаточности надпочечников появляется замедление ритма сердца, осиплость голоса, могут быть падения давления (коллапсы), «петушиный» крик, срыгивания или рвота, расстройства стула. У ребёнка возникают также защитные симптомы -сон на животе и резкое запрокидывание головы назад.
Синдром лимфопролиферации -это сопутствующие увеличению тимуса увеличенные лимфоузлы, разрастание фолликулов у корня языка, увеличение миндалин, селезёнки, а в крови — увеличение числа лимфоцитов. Это происходит из-за избытка гормонов, которые влияют ни тимус и надпочечник.
Нарушения в эндокринной системе и обмене веществ проявляются обычно в ожирении, нарушении аппетита, увеличенной печени, потемнении от пигмента пальцев на ногах и руках (как загорелые), снижении давления, проявлении признаков, похожих на рахит; страдает сердце. При этом при исследовании выявляется дисбаланс в гормонах надпочечника, нарушения в щитовидной железе и гипофизе. Все эти проявления должны выявляться как минимум 4 месяца подряд и более, они же должны сочетаться с рентгенологическими признаками увеличения тимуса, тогда устанавливается диагноз тимомегалии с расстройством функции.
Особенности течения болезни у таких детей. Дети с увеличением тимуса болеют по-особенному, у них отличается течение многих часто встречающихся заболеваний. Например, всем известные ОРЗ и ОРВИ у таких детей протекают в первые два-три дня с нормальной температурой или незначительным её повышением. Но затем она резко повышается до высоких цифр, проявления становятся сильными и выраженными, особенно сильно поражаются верхние дыхательные пути и бронхи с лёгкими, что может приводить к затяжному характеру болезни. При тимомегалии симптомы простуды проявляются сильнее обычного — если это кашель, он становится коклюшеобразным, с приступами, сухим и навязчивым, часто возникают признаки обструкции бронхов, ложный круп с отёком гортани. Улучшение идёт медленно, кашель зачастую остаётся надолго, на месяц и более. У части детей заболевание осложняется отитами, у половины при простудах наблюдается жидкий стул и боли в животе. Имеют отличительные особенности и пневмонии, они обычно возникают постепенно, не проявляются остро, температура при них редко бывает высокой, поэтому диагноз ставят поздно и с трудом.
Как ставят диагноз тимомегалия?
Самым основным диагностическим способом увидеть увеличенный тимус всё ещё остаётся рентген. На нём можно увидеть признаки увеличения тимуса от первой до третьей степени. Однако не всегда увеличение бывает типичным, и требуются дополнительные снимки, кроме обзорного рентгена грудной клетки.
Как это лечат?
В первую очередь немедикаментозными средствами — это, прежде всего, строгие режимные мероприятия, диета, а уж потом, на крайний случай, медикаментозная терапия. Режим у ребёнка должен быть обычный, как у всех детей, но с некоторыми оговорками -оградите такого малыша от сильных стрессовых раздражителей: переездов, ремонтов, разводов, истерик. В основе диеты — ограничение лёгких углеводов и животных жиров, а для детей на первом году жизни самым лучшим питанием и профилактикой инфекций и разрастания тимуса является кормление грудью. Если же этой возможности нет, надо выбирать для кормления детей высоко адаптированные, гипоаллергенные и кисломолочные смеси. До трёх лет не стоит давать детям яйца, шоколад, какао или мёд, а питание необходимо дополнительно обогащать витаминами. Если у ребёнка возникают эпизоды диареи, необходимо вообще резко снизить потребление жиров. Медикаментозную терапию назначают детям с сильно выраженными признаками болезни, курсами два или три раза в год, чаще всего это делают осенью и весной либо ещё зимой. Объём терапии определяет врач.
Вакцинация: тимомегалия 1 и 2 степени не является противопоказанием к вакцинации при условии клинического здоровья.
Наблюдение детей с синдромом увеличения вилочковой железы. Диспансерное наблюдение детей с тимомегалией проводится участковым врачом, который при необходимости назначит консультации специалистов. Требуются охранительные мероприятия, правильное питание, соответствующее возрасту.
К.В. ГЕРБСТ, врач аллерголог-иммунолог отделения клинической иммунологии и аллергологии Окружного кардиологического диспансера «Центр диагностики и сердечно-сосудистой хирургии» г. Сургута.
Вопросы педиатру
Дочке 6 месяцев. Пару недель назад ее нижнее веко стало западать вовнутрь. Ресничек у внутреннего угла глаза не видно. Гиперемии, зуда и выделений нет. Похоже на легкий отек, который иногда немного спадает, и реснички становятся видны. Какому врачу следует показать ребенка?
– Скорее всего, у ребенка энтропион – заворот века по направлению к глазному яблоку. Ресницы при этом могут травмировать конъюнктиву глаза, и она из-за этого раздражается. Чаще всего возникает так называемый спастической энтропион нижнего века – он появляется в результате спазма круговой мышцы глаза. Еще энтропион может развиваться в результате рубцовых изменений выстилающей веко мембраны (конъюнктивы). В любом случае надо показать ребенка офтальмологу – врач выявит причину энтропиона и назначит нужное лечение.
Врачи говорят, что у моего ребенка ослаблен иммунитет и увеличена вилочковая железа, поэтому некоторые прививки нам запрещены. Так ли это?
– Тимомегалия – увеличение вилочковой железы – встречается у маленьких детей довольно часто. Точный диагноз можно поставить, сделав рентгенографическое исследование или УЗИ. Если есть тимомегалия I и II степени, то прививки делать можно, главное – на время вакцинации соблюдать гипоаллергенную диету и принимать гипосенсибилизирующие препараты. А вот малышам с тимомегалией III степени вакцинацию не делают, у них есть так называемый медицинский отвод от профилактических прививок (кроме полиомиелита) до 6 месяцев. Все это время их наблюдает педиатр, невролог и иммунолог.
Вчера после купания и кормления сын (ему 2 недели) срыгнул прямо фонтаном, утром после кормления все повторилось. Теперь я боюсь его кормить. Что это было и стоит ли волноваться?
– Срыгивание – совершенно обычное явление у маленьких детей. Дело в том, что желудок у грудного ребенка еще очень мал, он не готов сразу принять и переварить большой объем пищи. Поэтому если ребенок съел больше, чем может поместиться в желудок, – будет срыгивание. Кроме того, почти 70% срыгиваний происходит из-за неверной техники вскармливания: во время кормления грудничок подсасывает воздух, он попадает в желудок, там образуется газовый пузырь, ребенок хочет от него избавиться и вместе с ним срыгивает пищу. Иногда частое срыгивание бывает у сверхвозбудимых детей. Как бы то ни было, в возрасте 1–4 месяца после каждого кормления ребенок может срыгивать до двух столовых ложек молока или однократно срыгивать в день более трех ложек. И это будет нормой. А вот если малыш срыгивает постоянно плюс плохо прибавляет в весе или если каждое срыгивание представляет собой фонтанирующую рвоту, ребенка следует срочно показать врачу.

Что дать ребенку в качестве первого прикорма? Педиатр советует начать с овощного пюре, но я не могу понять, с какого овоща начать и как его надо приготовить?
– Действительно, большинство педиатров советуют начинать первый прикорм с овощного пюре: в нем много витаминов и микроэлементов, а главное – в овощном пюре есть растительные волокна и пектины, которые нормализуют микрофлору кишечника. Примерная последовательность введения овощей может быть такой: кабачок, цветная капуста, брокколи, картофель, сладкий картофель, морковь, тыква. Можно начать комбинировать вышеперечисленные овощи, если вы убеждены, что все компоненты хорошо переносятся ребенком. Первый прикорм дают в виде пюре. Чтобы его приготовить, овощи надо отварить, а потом измельчить. Делать это надо правильно. Поэтому, чтобы сохранить в овощах все витамины и микроэлементы, а также их натуральный вкус и цвет, лучше готовить их в специальных пароварках, например Babycook компании Beaba. Они также позволят измельчить пюре, выбрав подходящую для малыша по возрасту консистенцию.
Дочке 3 месяца. С рождения у нее между бровями и на левом веке следы от лопнувших сосудов (маленькие красные полосочки и точки) Все это уже стало бледнее, но не исчезло совсем. Отчего такое бывает? Что посоветуете сделать?
– Иногда на лбу, переносице, веках или затылке ребенка после рождения образуются пятна розовато-красноватого цвета с синюшным оттенком, несколько выпячивающиеся над поверхностью кожи. Некоторые из них бывают очень большого размера, особенно на затылке. Если ребенок кричит или тужится, эти пятнышки проступают ярче, чем пугают мам. Это телеангиэктазия – стойкое расширение поверхностных сосудов кожи и слизистых оболочек. Такое расширение сосудов появляется в результате сдавления, когда ребенок идет по родовым путям. К году эти пятна исчезают бесследно, но вот пятно сзади на границе головы и шеи может остаться надолго. Правда, со временем тоже значительно бледнее, к тому же под волосами его вообще не видно.
Как только мы с ребенком выходим на улицу, он начинает есть песок, землю, а еще все время тянет в рот любой мусор, который лежит под ногами. И оторвать его от этой процедуры очень сложно! Что с этим делать? Вообще, это нормальное поведение?
– Да, это совершенно нормально. То, что делает ваш ребенок, делают многие дети, и дело здесь не в плохих привычках или дурных наклонностях – это один из этапов развития, новая игра, которая дает ребенку новую информацию. Конечно, никто не хочет, чтобы малыш тащил в рот всякую гадость, поэтому его надо отвлекать от такого занятия. На прогулке можно давать ребенку соску (если он ее сосет) или печенье – тогда рот малыша будет занят и в него ничего не попадет. Но лучше выработать у ребенка отрицательную реакцию на слова «мусор», «грязь». То есть, если ребенок берет в руку какую-то гадость, то надо ему сообщить что это «мусор» и попросить его выбросить то, что он поднял. Первое время можно с собой носить специальный пакет и бросать в него поднятые предметы. Одновременно можно рассказывать малышу, что нельзя брать мусор, так как потом нужно мыть руки, а воды на улице нет. Надо постоянно отвлекать ребенка от этой привычки, предлагая ему новые ощущения: дать новую игрушку, пойти на новую площадку с новыми детьми, что-то новое показать.
